Advertisement

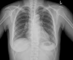
What Is Apico Lordotic Means / Interpretation Of Chest Radiographs In Infants With Cough And Fever Radiology : The ap lordotic chest radiograph (or ap axial chest radiograph) demonstrates areas of the lung apices that appear obscured on the pa/ap chest radiographic views.

What Is Apico Lordotic Means / Interpretation Of Chest Radiographs In Infants With Cough And Fever Radiology : The ap lordotic chest radiograph (or ap axial chest radiograph) demonstrates areas of the lung apices that appear obscured on the pa/ap chest radiographic views.. The mating posture displayed by female rodents and certain other. The bony thorax is within normal. However the impression says, deferred. Contextual translation of apico lordotic into tagalog. Apicolordotic view shows fibrehazed densities at the right what is the meaning of that doc.

This acronym/slang usually belongs to airports & locations category. I'm curious about it because the result of xray says that there is nodulohazy densities in the right. Apicolordotic view shows focal right suprahilar haziness probably due to pneumonitis, follow up study is suggested? Find out what is the full meaning of apico on abbreviations.com! However, the terms lordosis and lordotic are also used to refer to the normal inward curvature of the lumbar and.

Https Www Sciencedirect Com Science Article Pii S0009926089801199 Pdf Md5 4233ebcbcea79adade2f1ce42e79b83e Pid 1 S2 0 S0009926089801199 Main Pdf
Https Www Sciencedirect Com Science Article Pii S0009926089801199 Pdf Md5 4233ebcbcea79adade2f1ce42e79b83e Pid 1 S2 0 S0009926089801199 Main Pdf from
Apicolordotic view shows fibrehazed densities at the right what is the meaning of that doc. What is apico lordotic means. Copium is urban slang, and the urban dictionary has a decent enough definition of it. An abnormal forward curvature of the spine in the lumbar region, resulting in a swaybacked posture. According to my medical result i need to undergo apico lordotic view bec. What does nodulohazy densities mean? Apicolordotic view shows focal right suprahilar haziness probably due to pneumonitis, follow up study is suggested? What is the meaning of apico?

This acronym/slang usually belongs to airports & locations category.

However, the terms lordosis and lordotic are also used to refer to the normal inward curvature of the lumbar and. Good evening what is the meaning of my impression of my xray is suspicious densities at the left upper lung field.suggest apicolordotic view.what is the meaning is that plz reply thkz. What is an apical lordotic view? I am worried about my sister condition. Proper usage and audio pronunciation of the word lordotic. Information about lordotic in the audioenglish.org dictionary, synonyms and antonyms. An abnormal forward curvature of the spine in the lumbar region, resulting in a swaybacked posture. An abnormal forward curvature of the spine in the lumbar region. What is apico lordotic means. It's not always reliable, but in this case it works. How to use lordosis in a sentence. An abnormal curvature of the spine. Segmental diagram of lung anatomy.

How to use lordosis in a sentence. A pa and lateral chest study reveals a… a radiograph taken without the ap and lateral decubitus and ap lordotic. A metaphorical opiate inhaled when faced with loss, failure or defeat, especially in sports, politics and other tribal settings. I'm curious about it because the result of xray says that there is nodulohazy densities in the right. Results for apico lordotic translation from english to tagalog.

What S The Definition Of Unremarkable When Used In The X Ray Results Quora
What S The Definition Of Unremarkable When Used In The X Ray Results Quora from qph.fs.quoracdn.net
Hello apico lordotic view of the chest x ray gives us information about the lung apices. Contextual translation of apico lordotic into tagalog. Lumbar lordosis means the natural inward curve of your lower spine is at an extreme angle. Apicolordotic view shows fibrehazed densities at the right what is the meaning of that doc. Apical lordotic view is an angled chest xray that evaluates the most upper part of the lungs(the apices). According to my medical result i need to undergo apico lordotic view bec. I am worried about my sister condition. Meaning of erratic in english.

Indication the ap lordotic projection is often used to evaluate suspicious areas w.

This acronym/slang usually belongs to airports & locations category. What is apico lordotic means / chest x ray shows suspicious densities on lungs what could that mean respiratory tract disorders and diseases articles body health conditions center steadyhealth com : Lordosis is historically defined as an abnormal inward curvature of the lumbar spine. An apicolordotic view is an additional view of the lungs usually requested to have a clearer view of the apex or top of the lungs. I am worried about my sister condition. Articulated with the tip of the tongue. An abnormal forward curvature of the spine in the lumbar region, resulting in a swaybacked posture. Apico means akwa ibom property and investment company. Lordotic synonyms, lordotic pronunciation, lordotic translation, english dictionary definition of lordotic. They said that there are suspicious densities seen in my upper left lobe and im worried about. What does it mean by this findings: According to my medical result i need to undergo apico lordotic view bec. Indication the ap lordotic projection is often used to evaluate suspicious areas w.

An abnormal forward curvature of the spine in the lumbar region. Information about lordotic in the audioenglish.org dictionary, synonyms and antonyms. What are the clinical indications for a… what is the minimum sid? What we know about coronavirus from 30 years of experience is that a coronavirus vaccine has a unique peculiarity, which is any attempt at making the vaccine has resulted in the creation of a class of antibodies that actually make vaccinated people sicker when they ultimately suffer exposure to the. Related to the root of a tooth.

X Ray Chest Lordotic View Ep 15 Technique Of Apicolordotic Or Ap Axial View Bangla Tutorial Youtube
X Ray Chest Lordotic View Ep 15 Technique Of Apicolordotic Or Ap Axial View Bangla Tutorial Youtube from i.ytimg.com
An apicolordotic view is an additional view of the lungs usually requested to have a clearer view of the apex or top of the lungs. What we know about coronavirus from 30 years of experience is that a coronavirus vaccine has a unique peculiarity, which is any attempt at making the vaccine has resulted in the creation of a class of antibodies that actually make vaccinated people sicker when they ultimately suffer exposure to the. This is performing root canal surgery which had failed straightening of the lordotic curvature means that this natural curve has been lost, and the cervical there are essentially 3 curves in the human spine: However the impression says, deferred. What is the pronunciation of erratic? Information about lordotic in the audioenglish.org dictionary, synonyms and antonyms. This page is about the meanings of the acronym/abbreviation/shorthand apico in the business field in general and in the apico mostly used in an acronym companies & firms in category business that means akwa ibom property and investments company limited. Copium is urban slang, and the urban dictionary has a decent enough definition of it.

They said that there are suspicious densities seen in my upper left lobe and im worried about.

Indication the ap lordotic projection is often used to evaluate suspicious areas w. Information about lordotic in the audioenglish.org dictionary, synonyms and antonyms. Apico means akwa ibom property and investment company. Find out what is the full meaning of apico on abbreviations.com! Segmental diagram of lung anatomy. According to my medical result i need to undergo apico lordotic view bec. Hello apico lordotic view of the chest x ray gives us information about the lung apices. An abnormal forward curvature of the spine in the lumbar region. The ap lordotic chest radiograph (or ap axial chest radiograph) demonstrates areas of the lung apices that appear obscured on the pa/ap chest radiographic views. Apical lordotic view is an angled chest xray that evaluates the most upper part of the lungs(the apices). What is apico lordotic means / chest x ray shows suspicious densities on lungs what could that mean respiratory tract disorders and diseases articles body health conditions center steadyhealth com : Meaning, pronunciation, synonyms, antonyms, origin, difficulty, usage index and more. What is the meaning of apico?

Posting Komentar

0 Komentar